Getafe · Madrid
Recupera tu sonrisa.
Salud y estética dental con la cercanía que mereces.
Implantes, estética dental y facial, prótesis y conservadora — dirigida por la Dra. Maryam, con más de 30 años de experiencia en pleno Getafe. Plan por escrito antes de empezar nada.
-
12+
Años en Getafe
-
4500+
Pacientes
-
Sanitas
Y financiación 0%
Encuéntranos
Calle Oeste 9 B
28901 · Getafe
Lo que nos define
Tres pilares que ordenan cómo te atendemos.
No son eslóganes. Son las decisiones que tomamos cada día — desde cómo te recibimos en la puerta hasta qué materiales colocamos en tu boca.
-
Cercanía.
Atención humana, tiempo suficiente, lenguaje claro. Sin prisa por sentar al siguiente paciente. Te escuchamos primero, exploramos después.
-
Técnica.
Escáner intraoral 3D, cirugía guiada, materiales con respaldo clínico de décadas. La tecnología sirve al criterio, nunca al revés.
-
Estética.
Resultados que respetan tu rostro. Diseño digital de sonrisa con simulación previa: ves el resultado antes de que toquemos un solo diente.
Servicios
Todo lo que tu sonrisa necesita, en un mismo sitio.
¿Quieres saber qué necesitas exactamente? Primera valoración sin coste, plan por escrito antes de empezar nada.
La clínica en cifras
Cifras que respaldan el día a día.
-
0+ Años en Getafe
Cuidando la sonrisa de los vecinos del oeste.
-
0+ Pacientes atendidos
Tratamientos completos con plan por escrito.
-
0% Recomendarían la clínica
Encuestas internas tras tratamiento.
-
0h Respuesta a citas
En horario laboral, sin formularios eternos.
Por qué nosotros
Una clínica donde te explican antes de actuar.
Llevamos años en Getafe cuidando vecinos del centro, Sector III, Las Margaritas y Buenavista. La forma de trabajar es siempre la misma: te escuchamos, te valoramos sin coste, te entregamos un plan por escrito y solo entonces empezamos.
-
Plan por escrito.
Diagnóstico, opciones y presupuesto cerrado antes de empezar.
-
Sanitas + financiación.
0% TAE hasta 36 meses. Te lo desglosamos antes.
-
Cirugía guiada 3D.
Implantes con planificación digital y precisión sub-milimétrica.
-
Atención urgente.
En horario de clínica, sin recargo extra para pacientes activos.
-
Primera valoración sin coste.
Te llevas el plan a casa, decides con calma.
-
Doctora colegiada COEM.
Más de 30 años de práctica. Máster en prótesis e implantoprótesis y formación continuada en evidencia clínica.
Cita destacada
La primera valoración no se cobra y el plan llega por escrito. Si decides no tratarte aquí, no pasa nada.
Dirección clínica
Filosofía de Dental Estetic Oeste
Resultados reales
Antes y después, arrastrando.
Mueve el control para revelar el resultado. Todos los casos publicados aquí cuentan con consentimiento informado firmado por el paciente (RD 1907/1996), y las fotografías son propias de la clínica.

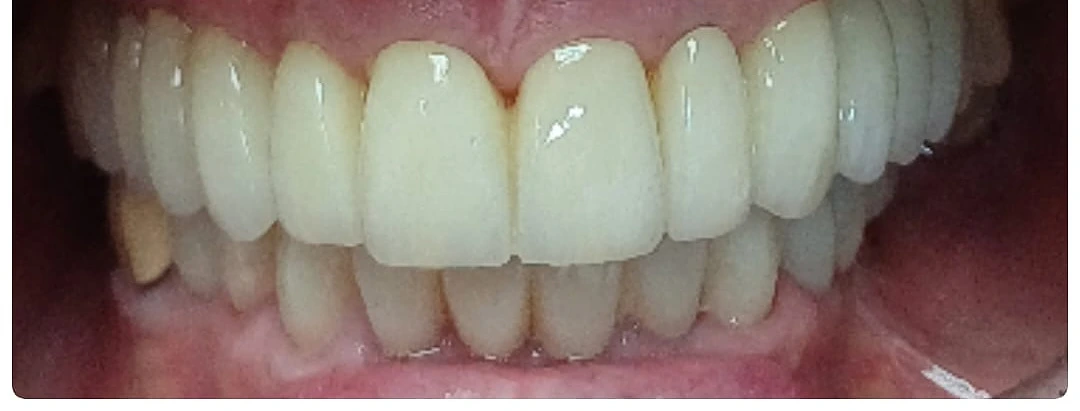
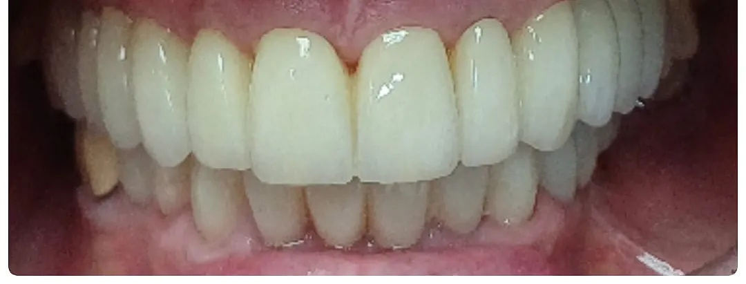
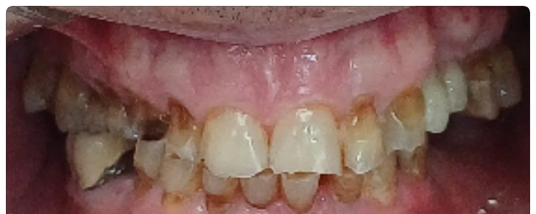
AntesDespuésCaso real publicado con consentimiento. Coronas de porcelana sobre rehabilitación oral.
Tratamiento: Rehabilitación con coronas de porcelana
Día a día
Espacios y momentos reales de la clínica.
Imágenes propias de la clínica en Calle Oeste — fachada, sala de espera, gabinete y la Dra. Maryam en consulta. Próxima sesión fotográfica ampliará el archivo.










Cómo encontrarnos
Estamos en pleno Getafe.
Calle Oeste 928901 Getafe (Madrid)
Horario disponible próximamente — pendiente de confirmación.
¿Hablamos?
Tu próxima cita empieza con una conversación, no con un compromiso.
La primera valoración no tiene coste. Te escuchamos, miramos, te entregamos un plan por escrito y decides tú con calma.